O que é a MSA?
A Atrofia de Múltiplos Sistemas (MSA) é uma doença neurológica rara, degenerativa e progressiva.
Ela costuma surgir em adultos a partir dos 30-40 anos, mas é mais comum por volta dos 50-60 anos, e afeta homens e mulheres em igual proporção.
A doença é chamada de “múltiplos sistemas” porque compromete diferentes áreas do sistema nervoso ao mesmo tempo:
- O sistema motor, causando sintomas semelhantes ao Parkinson.
- O cerebelo, responsável pelo equilíbrio e coordenação.
- O sistema nervoso autônomo, que controla funções como pressão arterial, bexiga, intestino e sudorese.
Diferente da Doença de Parkinson, a MSA tem uma progressão mais rápida: a sobrevida média é de 7 a 9 anos após o início dos sintomas.
Variantes da MSA
Existem dois principais subtipos:
- MSA-P (parkinsoniana): quando predominam sintomas semelhantes ao Parkinson, como rigidez e lentidão.
- MSA-C (cerebelar): quando o equilíbrio e a coordenação são os sintomas mais marcantes.
Muitos pacientes apresentam uma mistura das duas formas.
Principais sintomas
Sintomas motores
- Rigidez e lentidão (parecidos com Parkinson).
- Tremor atípico, muitas vezes mais rápido e irregular.
- Dificuldades na fala (voz mais baixa, arrastada) e na deglutição, com risco de engasgos.
- Posturas anormais, como inclinação do tronco para o lado (síndrome de Pisa) ou flexão exagerada do pescoço (antecolis).
- Quedas frequentes já nos primeiros anos da doença.
Sintomas autonômicos
- Pressão baixa ao levantar-se (hipotensão ortostática), com tontura ou desmaios.
- Alterações urinárias: urgência, incontinência ou dificuldade de esvaziar a bexiga.
- Disfunção erétil precoce nos homens.
- Constipação intestinal e atraso no esvaziamento do estômago.
- Alterações de sudorese e sensação de frio nas mãos e pés.
Sintomas do sono e respiração

- Distúrbio comportamental do sono REM, em que o paciente “atua os sonhos”, podendo gritar ou se movimentar violentamente dormindo.
- Estridor (um som áspero e alto ao inspirar), que pode indicar risco respiratório grave.
- Ronco intenso, apneia do sono ou até falhas na respiração durante o sono.
Outros sintomas
- Alterações emocionais, como riso ou choro inapropriado.
- Labilidade emocional e, em alguns casos, alterações cognitivas leves.
- Importante: alucinações visuais não são típicas da MSA, diferentemente da demência com corpos de Lewy.
Como diferenciar MSA do Parkinson?
| Característica | Parkinson | MSA |
| Tremor inicial | Frequente | Raro, irregular |
| Resposta à levodopa | Boa nos primeiros anos | Pouca ou nenhuma resposta |
| Sintomas autonômicos | Aparecem tardiamente | Aparecem cedo, às vezes antes dos motores |
| Quedas | Mais tardias | Precoces, já nos primeiros anos |
| Prognóstico | Evolução lenta, décadas | Evolução rápida, 7-9 anos em média |
Na prática, quando os sintomas de pressão baixa, bexiga e quedas surgem cedo, deve-se pensar em MSA.
Diagnóstico
O diagnóstico é clínico, mas exames ajudam:
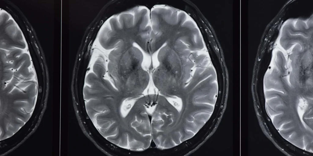
- Ressonância magnética (RM): pode mostrar sinais típicos como o “sinal da cruz” no tronco cerebral ou o “contorno brilhante do putâmen”.
- DATScan: confirma a presença de parkinsonismo, mas não diferencia MSA do Parkinson.
- Exames urodinâmicos e de pressão arterial: avaliam a disfunção autonômica.
- Polissonografia: pode identificar distúrbios do sono e estridor.
No Brasil, a ressonância de crânio é o exame mais disponível e pode reforçar o diagnóstico.
Tratamento: o que pode ser feito?
Não existe cura, mas o tratamento busca controlar sintomas e melhorar a qualidade de vida:
Medicamentos
- Levodopa: pode ser testada, mas só traz benefício em até 30-50% dos pacientes e por pouco tempo.
- Midodrina, fludrocortisona ou droxidopa: para controlar a pressão baixa.
- Antimuscarínicos ou mirabegrona: para sintomas urinários.
- Botox ou clonazepam: para distonias dolorosas.
- Amantadina: em alguns casos ajuda no movimento e apatia.
Reabilitação multiprofissional
- Fisioterapia: essencial para equilíbrio e marcha, reduz risco de quedas.
- Fonoaudiologia: trabalha voz, fala e deglutição, ajudando a prevenir engasgos.
- Terapia ocupacional: adaptações para casa e rotina.
- Psicologia: apoio emocional para paciente e família.
Cuidados práticos
- Elevar a cabeceira da cama ajuda a reduzir pressão baixa noturna.
- Alimentação em pequenas refeições reduz quedas de pressão após comer.
- Uso de andadores, barras de apoio e cadeira de rodas pode ser necessário com a evolução.
- Em casos graves de deglutição, pode ser indicada gastrostomia (sonda para alimentação).
Prognóstico

A MSA é uma doença de evolução rápida.
- Em até 3 anos, muitos pacientes já precisam de bengala ou andador.
- Em 5 anos, cerca de 60% estão em cadeira de rodas.
- Em 8 anos, muitos ficam restritos ao leito.
Apesar disso, o suporte adequado pode prolongar a independência e melhorar o bem-estar.
Conclusão
A Atrofia de Múltiplos Sistemas (MSA) é um parkinsonismo raro e agressivo, que vai além dos sintomas motores do Parkinson, atingindo também o equilíbrio, o sistema nervoso autônomo, o sono e a respiração.
Identificar os sinais precoces — como quedas inexplicáveis, pressão baixa ao levantar e sintomas urinários cedo — é essencial para buscar ajuda especializada.
Mesmo sem cura, tratamento sintomático, acompanhamento multiprofissional e apoio familiar podem transformar a qualidade de vida do paciente e dar mais segurança nessa jornada.